<

Shofu P & R Repair Kit

truck Icon

Free Shipping

Free shipping on orders over 1999.

Support Icon

Support

24x7 Support

Credit Card Icon

Secure Checkout

We ensure 100% Payment Secure.

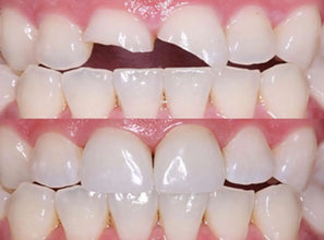
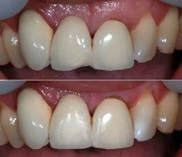
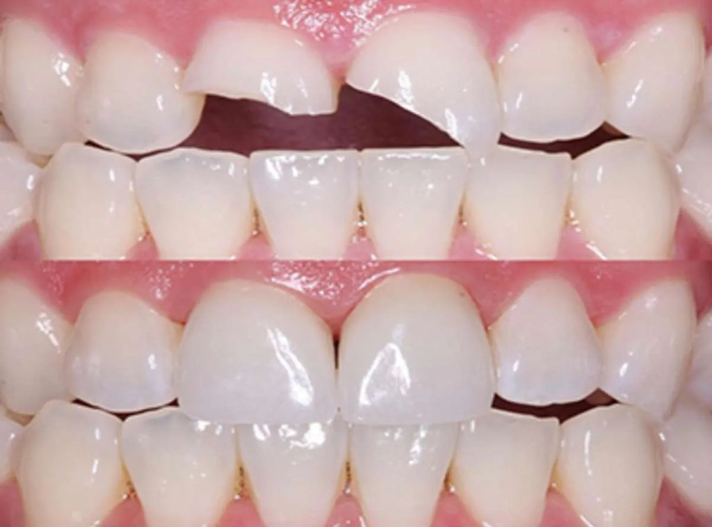
A versatile light-cure bonding system that can be used clinically for the repair of fractured ceramic or indirect composite restorations intra-orally even when the metal is exposed and for chairside adjustment or in the laboratory for fabrication and repair of prosthesis with a strong bond to Metal, Porcelain and Resin materials.

Consists of 3 Components :

ML Primer - A single bottle metal link primer designed to enhance the bond between resin materials and a wide variety of metal alloys. Offers a simple, easy application technique and a short application time of just 10 sec

CeraResin Bond (CRB 1) - Acts as a silane coupling agent to prime feldspathic porcelain or indirect resin restoration

 

CeraResin Bond (CRB 2) - A bonding agent that creates a strong and durable bond even with a thin and transparent bonding layer

INDICATIONS:
  • Fabrication and repair of resin veneer restorations, metal dentures and metal attachments
  • Repair of PFM restorations 
  • Bonding and repair of metal restorations(onlays, crowns & bridges) , metal splints, posts & cores
  • Temporary repair of fractured metal partial dentures

Related Products